TO GET YOU BACK TO BEING YOU
A little dive into topics we find useful for patients.
Sarah Fisk
Oct 20th 2025
How Acupuncture Works: From Energy Flow to Embryology

Have you ever wondered how acupuncture actually works?
At Rowan Acupuncture in Leicester, we blend the wisdom of Traditional Chinese Medicine with modern scientific insight to help your body find its natural balance.
Acupuncture encourages the body to reconnect, rebalance, and heal itself naturally, using precise points that influence the body’s energy, nerves, and circulation.

The Traditional Chinese Perspective
In Traditional Chinese Medicine (TCM), the body’s energy — known as Qi (pronounced “chee”) — flows through a network of pathways called meridians.
"This energy is the force that enlivens every cell. Our bodies are made up of energy that flows in patterns of electricity. All our cells and tissues conduct and transfer energy through protein molecules, giving us life. This energetic source flows throughout every aspect of our organs empowering the process that link them as well. This electromagnetic force directs every chemical and hormonal release". Randine Lewis *
When Qi moves smoothly, we feel calm, energised, and well.
When it becomes blocked or depleted, symptoms like pain, tension, or fatigue can appear.
Acupuncture gently restores this flow, supporting balance across the whole body — physically, mentally, and emotionally.
The Modern Scientific Perspective
Modern research shows that acupuncture affects the
nervous system, hormones, immune response, and circulation.
Each point acts like a communication switch, sending messages that help the body:
- Reduce pain and inflammation
- Balance hormones and mood
- Improve sleep and digestion
- Calm the stress response
- Promote natural healing
In essence, acupuncture helps your body reboot and regulate itself, supporting well-being from within.

Map of the Acupuncture Channels

Map of the Lymphatic System
The Embryology Connection
From the earliest stages of development in the womb, our bodies form along lines of communication where nerves, blood vessels, and connective tissues grow together.
This mesodermal tissue (which becomes fascia, muscle, bone, and connective tissue) forms continuous planes throughout the body.
"As the embryo develops, certain cells coalesce along what look like fold lines. As cells continue to differentiate along fold lines, they become the organs and organ systems. Why is this important? Because remnants of embryonic folds remain in our bodies even after organ systems are formed and modern researchers in Chinese medicine believe that the embryonic folds become energy meridians"
Randine Lewis *
These same pathways match the meridians described in ancient Chinese medicine — the body’s original “energy highways.”
Electrical conductivity and piezoelectric properties in fascia may explain how stimulation at one point affects distant regions.
Stimulating an acupuncture point reawakens these connections, helping systems communicate clearly and work in harmony again.

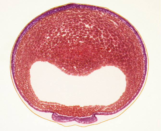
Embryonic cell division called cleavage

Further cell division

Cells coalesce along what look like fold lines
The Modern Scientific Perspective
Modern research shows that acupuncture affects the nervous system, hormones, immune response, and circulation.
Each point acts like a communication switch, sending messages that help the body:
Nervous system
Stimulates sensory nerves → modulates spinal cord, brainstem, limbic system → changes pain perception, mood, and autonomic balance
Endocrine system
Balances hypothalamic-pituitary-adrenal axis (HPA), modulating stress hormones, thyroid, reproductive hormones
Immune system
Alters cytokine activity → reduces inflammation and enhances immune regulation
Circulatory system
Improves microcirculation, tissue oxygenation, and lymphatic drainage
Connective tissue / Fascia
Mechanical signal transduction through fascial network — influencing local and systemic function
In essence, acupuncture helps your body reboot and regulate itself, supporting well-being from within.
What You May Feel During Treatment
Many patients describe feeling relaxed, calm, and more grounded after acupuncture.
You may also notice:
- Improved energy
- Clearer thinking
- Better sleep
- Relief from tension or discomfort
These sensations show that your body is shifting from stress mode into rest, repair, and balance.

In Essence
Acupuncture is both ancient and modern — a bridge between energy and science.
It supports your body’s natural intelligence, helping you reconnect with your own healing potential.
At Rowan Acupuncture, we offer gentle, effective treatments to restore balance naturally and help you feel your best.
Acknowledgements to:
Randine Lewis Ph.D. -The Infertility Cure & master of Science in Oriental Medicine



